Gallery
>
Windsurfing
<< Previous
|
Next >>
Category:
State:
Location:
Caption:
Description:
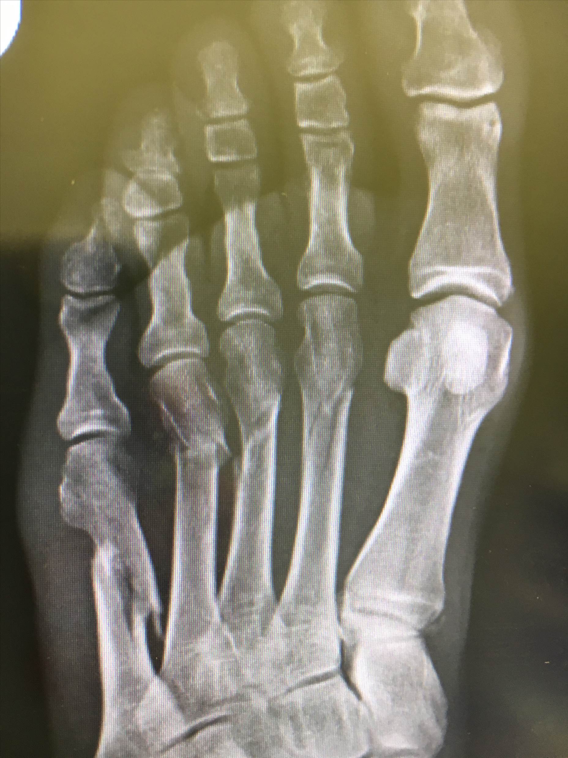
Windsurfing Foot
Discussed in these Forum posts:
Windsurfing
>
Foiling injury - lis franc beware !
Windsurfing
>
Foiling injury - lis franc beware !
The Pom
TerryNorth
gcgrayza
gcgrayza
gcgrayza
The Windsurfing Shed
pirrad
Troppo
Troppo
julzie
julzie
The Windsurfing Shed
Search:
the gallery
windsurfing
Kernowboy
Oct 2018
Sydney Weather
Melbourne Weather
Brisbane Weather
Perth Weather
Adelaide Weather
Darwin Weather
Hobart Weather
Kitesurfing
Windsurfing
Stand Up Paddle
Surfing
Boating
Sailing
Fishing
Contact Us (Support/Help)
Terms Of Use
Privacy Policy
iPhone App
Android App
About
Copyright © 1997-2026 Seabreeze.com.au - All Rights Reserved.